Acesse sua conta
Ainda não é assinante?
Ao continuar, você concorda com a nossa Política de Privacidade
ou
Entre com o Google
Alterar senha
Preencha os campos abaixo, e clique em "Confirma alteração" para confirmar a mudança.
Recuperar senha
Preencha o campo abaixo com seu email.

Já tem uma conta? Entre
Alterar senha
Preencha os campos abaixo, e clique em "Confirma alteração" para confirmar a mudança.
Dados não encontrados!
Você ainda não é nosso assinante!
Mas é facil resolver isso, clique abaixo e veja como fazer parte da comunidade Correio *
ASSINE

Osteossarcoma: o que é, sintomas e como tratar o câncer de osso mais comum

Tumor afeta principalmente adolescentes durante o crescimento e pode ter altas chances de cura quando diagnosticado cedo

  • Foto do(a) author(a) Agência Correio
  • Agência Correio

Publicado em 16 de novembro de 2025 às 19:00

Identificar o problema rapidamente é essencial para sucesso do tratamento
Identificar o problema rapidamente é essencial para sucesso do tratamento Crédito: Freepik

Apesar de serem estruturas rígidas e resistentes, os ossos também podem ser atingidos por tumores malignos.

O mais frequente entre eles é o osteossarcoma, um tipo de câncer que costuma surgir durante o crescimento e que, quando descoberto cedo, tem boas chances de cura.

Ossos também podem ser atingidos por tumores malignos por Reprodução

Entendendo o osteossarcoma

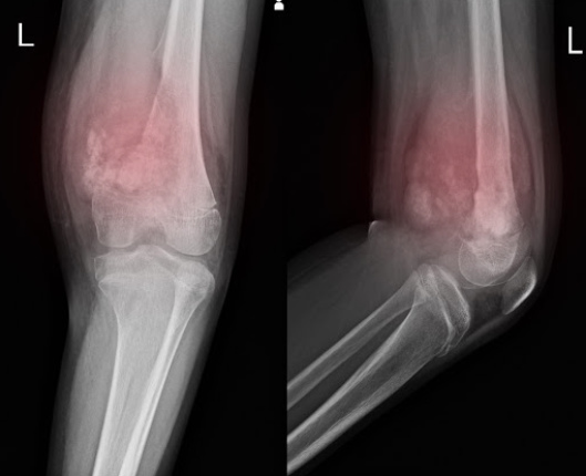
O osteossarcoma é um tipo de câncer que se desenvolve a partir do tecido ósseo e pode atingir qualquer osso do corpo. É mais comum em crianças e adolescentes, especialmente na fase do chamado “estirão” do crescimento.

“A faixa etária mais atingida pelo osteossarcoma são meninos entre os 10 até os 18 anos”, afirma o médico Fernando Campos, líder do Centro de Referência em Sarcomas e Tumores Ósseos do A. C. Camargo Cancer Center, em entrevista à Veja Saúde.

Geralmente, o tumor aparece nos ossos longos, como o fêmur, a tíbia, especialmente perto do joelho, e o úmero, próximo ao cotovelo. Cerca de 80% dos casos estão ligados ao fêmur.

Os especialistas classificam o câncer conforme o comportamento das células vistas ao microscópio: os de alto grau têm multiplicação acelerada, enquanto os de grau intermediário ou baixo se desenvolvem mais lentamente. Essa diferença influencia nas chances de metástase.

Embora seja mais comum entre os jovens, o osteossarcoma também pode surgir em pessoas com mais de 60 anos, segundo Campos.

Possíveis causas do osteossarcoma

Nos jovens, o tumor costuma surgir a partir de células que, originalmente, participariam da formação óssea, mas que passam a produzir tecido anormal e se transformam em células cancerígenas.

“Está relacionado a descarga hormonal e outros fatores relativos ao crescimento, puberdade, assim como a genética”, conta o oncologista.

Em idosos, o aparecimento da doença pode estar ligado a fatores acumulados ao longo da vida.

Ter tido alguma lesão benigna no osso, ou a doença de Paget do osso, ou mesmo ter feito radioterapia 10 anos antes. Tudo se configura em fatores de risco para o osteossarcoma tardio.

Sintomas e diagnóstico

Como o osteossarcoma afeta, na maioria dos casos, os ossos das pernas, o principal sintoma costuma ser dor na região afetada.

“Dor nos ossos persistente e contínua, que se estende para dor noturna, às vezes acordando a criança por conta da dor é característica que já gera uma desconfiança”, alerta o médico.

Ele reforça que essas dores não devem ser confundidas com incômodos típicos do crescimento, e que a investigação médica é fundamental para o diagnóstico precoce.

Tratamento e prognóstico

O tratamento combina quimioterapia e cirurgia para remoção do tumor. A quimioterapia pode ser feita antes ou depois da operação, dependendo do caso.

“Os osteossarcomas mais convencionais são muito sensíveis à quimioterapia, o que é bem positivo”, aponta o especialista.

Nas últimas décadas, o avanço no tratamento aumentou significativamente as taxas de sobrevida.

Na década de 80, o osteossarcoma era tratado só com cirurgia e a sobrevida em 5 anos dos pacientes era de apenas 10%. Hoje em dia, pela ajuda da quimioterapia, a sobrevida se aproxima de 60% em média.

“E pode chegar a 80% dependendo do tipo da doença. Mas é realmente uma fase bem importante do tratamento”, finaliza o médico.