Acesse sua conta
Ainda não é assinante?
Ao continuar, você concorda com a nossa Política de Privacidade
ou
Entre com o Google
Alterar senha
Preencha os campos abaixo, e clique em "Confirma alteração" para confirmar a mudança.
Recuperar senha
Preencha o campo abaixo com seu email.

Já tem uma conta? Entre
Alterar senha
Preencha os campos abaixo, e clique em "Confirma alteração" para confirmar a mudança.
Dados não encontrados!
Você ainda não é nosso assinante!
Mas é facil resolver isso, clique abaixo e veja como fazer parte da comunidade Correio *
ASSINE

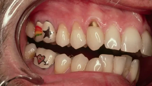
'Tatuagem' nos dentes vira tendência da moda entre os jovens

Procedimento consiste em gravar desenhos ou palavras nas coroas dentárias

  • Foto do(a) author(a) Carol Neves
  • Carol Neves

Publicado em 6 de outubro de 2025 às 13:20

Tatuagem no dente
Tatuagem no dente Crédito: Reprodução

Uma nova tendência estética está chamando atenção na China: jovens têm exibido coroas dentárias personalizadas com frases inspiradoras e símbolos típicos da cultura local. O que começou como uma ação promocional de clínicas odontológicas acabou se transformando em uma moda viral.

O procedimento consiste em gravar desenhos ou palavras nas coroas dentárias, que depois são encaixadas sobre os dentes. Algumas clínicas chegaram a oferecer o serviço gratuitamente como forma de atrair novos clientes interessados em próteses. O sucesso foi imediato.

Tatuagem no dente por Reprodução

“Nossas coroas dentárias impressas em 3D são feitas de materiais aeroespaciais. Elas não apenas reparam seu dente problemático, mas também trazem palavras ou padrões gravados. Elas são personalizadas exclusivamente para você”, anuncia uma clínica da província de Guangdong.

De acordo com um funcionário ouvido pelo South China Morning Post, “muitos clientes acorrem às nossas instituições para gravar coisas de que gostam. Essa tecnologia já está bastante madura”. O custo do serviço gira em torno de 2.000 iuanes, cerca de R$ 1.500. Entre as inscrições mais populares estão mensagens como “fique rico” e “garanta o sucesso”.

Mas nem todos aprovam a moda. Especialistas em odontologia alertam que as gravações podem comprometer a durabilidade das coroas. “A coroa ficará danificada. Sua resistência será prejudicada. Não recomendo que os pacientes adotem a inscrição em sua coroa”, afirmou um dentista de Xangai.